Diagnostic and Surgical Arthroscopy in Melbourne, FL

Specialty Veterinary Center

is the ONLY Clinic in Brevard County

that Offers Arthroscopy!

Arthrex Synergy Tower Vsc

Arthroscopy is a minimally invasive surgical technique used to diagnose and treat joint diseases in animals. Instead of making a large incision into the joint, Dr. Gonzalez inserts a small arthroscope (a rigid camera with fiber optics) and specialized instruments through tiny portals into the joint, which reduces trauma, speeds recovery, and provides superior visualization compared to open joint surgery.

Arthroscopy is a minimally invasive surgical technique used to diagnose and treat joint diseases in animals. Instead of making a large incision into the joint, Dr. Gonzalez inserts a small arthroscope (a rigid camera with fiber optics) and specialized instruments through tiny portals into the joint, which reduces trauma, speeds recovery, and provides superior visualization compared to open joint surgery.

Arthrex Synergy Tower Vsc

Common Uses of Arthroscopy in Veterinary Medicine

Diagnostic Purposes

  • Evaluation of cartilage damage

  • Confirmation of cruciate ligament injury

  • Assessment of meniscal tears

  • Detection of osteochondritis dissecans (OCD) or subchondral bone lesions

  • Biopsy collection

Therapeutic Purposes

  • Removal of osteochondral fragments (e.g., OCD lesions)

  • Meniscal release or meniscectomy (dogs with CCL rupture)

  • Tendon release (e.g., biceps tendinopathy)

  • Evaluation and lavage for septic arthritis

  • Treatment of fragmented coronoid process in elbow dysplasia

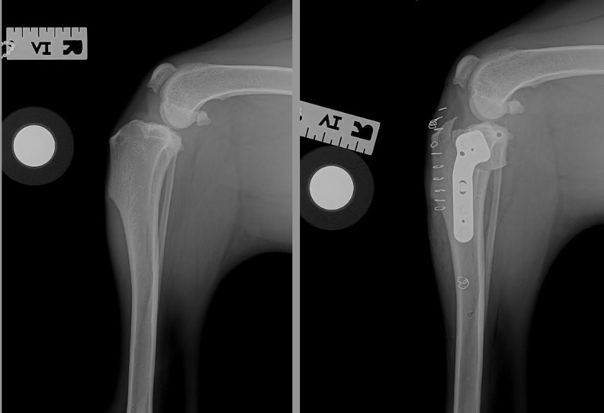
Arthroscopic Surgery before and after

Arthroscopic Images

The Images Below Were Taken With an Arthroscope

Normal Cranial Cruciate Ligament
Normal Cranial Cruciate Ligament
Partial Cranial Cruciate Ligament Tear
Partial Cranial Cruciate Ligament Tear
Normal Meniscus
Normal Meniscus
Medial Meniscus Damage
Medial Meniscus Damage